UWL Centre for Translational Healthcare Research

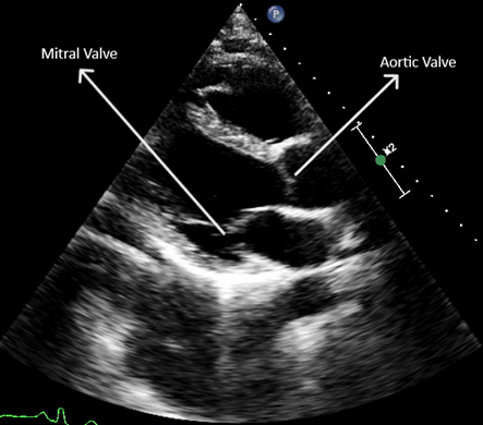
PLAX Valve Visibility

Start Labelling →


Project Overview

We are training an AI to automatically detect and assess the clarity of valve visibility in echocardiographic images, specifically in the Parasternal Long Axis (PLAX) view.
To achieve this, we are ranking images based on how clearly each valve — mitral or aortic — is visible, from the most clearly visible to the least visible.

In many cases, the difference in visibility between two images may be minimal.
When this occurs, the exact order of ranking is not critical — just ensure that the images with significant differences in valve visibility are ranked accurately.
We address the mitral and aortic valves separately.


Visual Example

PLAX Valve Visibility Example

Instructional Video

This video explains how to rank the images based on the visibility of the valves using the Unity Imaging platform.



Start Labelling