UWL Centre for Translational Healthcare Research

PLAX Orientation

Start Labelling →


Project Overview

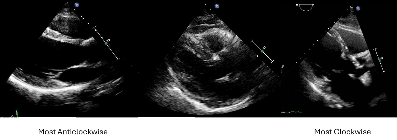
Excessive clockwise rotation is a common issue in the Parasternal Long Axis (PLAX) echocardiographic view.
We are training an AI to automatically understand and assess PLAX image rotation by arranging images in order — from the most anticlockwise (rare) through the middle zone of acceptability, to the most clockwise.

In many cases, there may be minimal differences between two images.
When this occurs, the exact order of ranking is not critical — just ensure that images with noticeable differences in rotation are ranked correctly.


Visual Example

PLAX Orientation Example

Instructional Video

This video explains how to rank images based on the degree of PLAX rotation using the Unity Imaging platform.



Start Labelling