UWL Centre for Translational Healthcare Research

PLAX Foreshortening

Start Labelling →


Project Overview

We are training an AI to automatically detect and assess the degree of foreshortening in echocardiographic videos, specifically in the Parasternal Long Axis (PLAX) view.
To achieve this, we are ranking videos based on how foreshortened the heart appears, from the least foreshortened to the most foreshortened.

In many cases, the difference in foreshortening between two videos may be minimal.
When this occurs, the exact order of ranking is not critical — just ensure that the videos with significant differences in foreshortening are ranked accurately.


Visual Examples

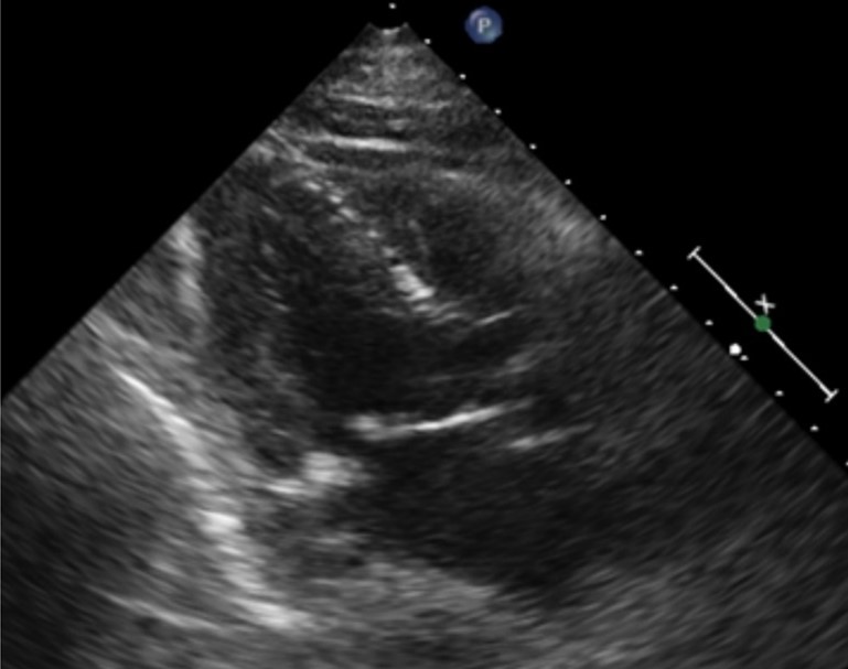
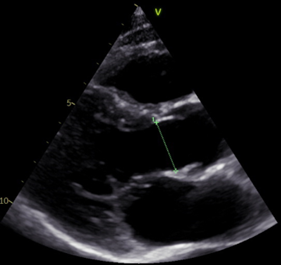
Most Foreshortened Example Least Foreshortened Example

The image on the left illustrates an example of the Most Foreshortened, while the Least Foreshortened example is shown on the right.


Instructional Video

This video explains how to rank echo videos based on the level of foreshortening using the Unity Imaging platform.



Start Labelling