UWL Centre for Translational Healthcare Research

Phase Timing Detection in PLAX View

Start Labelling →


Project Overview

We are training an AI model to detect key cardiac phases — end-diastole (ED) and end-systole (ES) directly from PLAX echocardiographic video sequences.

The model learns to recognise subtle physiological cues such as:

These patterns allow the model to accurately identify:

This enables automated phase measurement, improving consistency and reducing manual workload for clinicians.


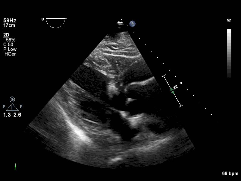
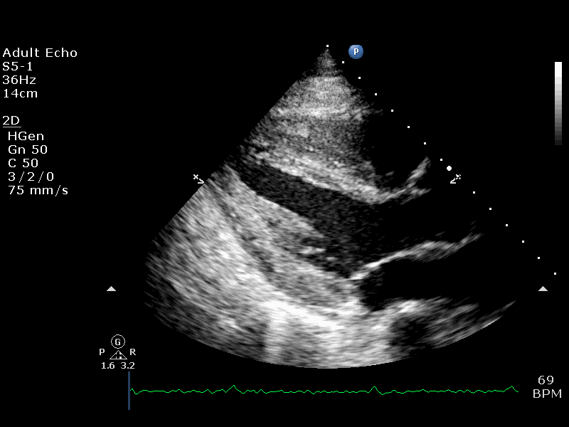
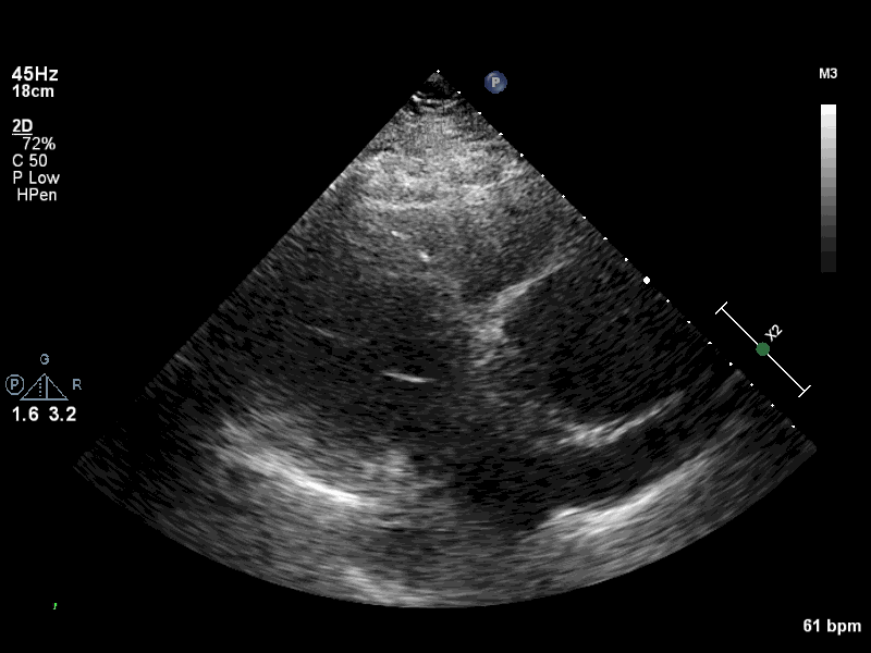
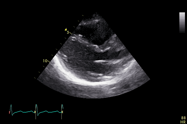
Visual Examples

PLAX Example 1 PLAX Example 2 PLAX Example 3 PLAX Example 4

Instructional Video

Watch the Demonstration



Start Labelling