UWL Centre for Translational Healthcare Research

TTE47 — Dataset Card & Reference Gallery

Download Dataset Trained Model References

TTE47 is a dataset derived from a random sample of real-world echocardiographic studies collected at Imperial College Healthcare NHS Trust, comprising a total of 91,139 images. Ethical approval for the study was granted by the Health Research Authority (Integrated Research Application System IRAS identifier: 243023). Only studies with complete demographic information and without intravenous contrast were included.

Each image was manually annotated by a cardiologist (“Expert 1”) via a web-based platform (https://unityimaging.net/) and assigned to one of 47 predefined categories. The dataset was divided into training (76,589), validation (9,103), and test (5,447) sets, with no patient or study overlap between splits. The echocardiograms were obtained from 19,169 unique studies.

Two additional clinical experts independently annotated the test set. These experts were blinded to the original labels and to each other’s annotations. Unlike Expert 1, who was required to assign exactly one label to each image, Experts 2 and 3 were allowed to select “not sure” when appropriate. The test set was intentionally sized to ensure reliable evaluation while remaining feasible for detailed multi-expert annotation across all 47 views.

The test subset, containing 5,447 images with annotations from all three experts, is released under the Creative Commons Attribution-NonCommercial-ShareAlike 4.0 International license. Release of the dataset was approved by the South Central – Oxford C Research Ethics Committee (IRAS ID: 279328, REC reference: 20/SC/0386). Due to data governance restrictions, the training set cannot be made public, but pre-trained and fine-tuned model weights are provided.



Demographics

Demographic profile of the TTE47 dataset, encompassing a diverse adult population with representation across multiple age groups, BMI categories, and sexes.

Characteristic Category Proportion (%)
Age (years)18–302.3
31–5012.7
51–7027.9
71+57.2
SexFemale50.5
Male48.6
Other0.8
BMI (kg/m²)18–24.9 (Normal)36.0
25–29.9 (Overweight)34.9
30–34.9 (Obesity I)18.0
35+ (Obesity II+)11.1

Data splits by view (counts)

Distribution of echocardiographic view classes across the training, validation, and test sets in TTE47.

View Training Validation Testing Total
a2ch-full29313492093489
a2ch-la19362301382304
a2ch-lv29873552133555
a3ch-full35614242544239
a3ch-la16221931151930
a3ch-lv19262291372292
a3ch-outflow6377545757
a4ch-full33533992393991
a4ch-ias1319157941570
a4ch-la27333251953253
a4ch-lv24952971782970
a4ch-ra17132041222039
a4ch-rv1236147881471
a5ch-full7538953895
a5ch-outflow7869356935
apex7238651860
doppler-ao14891771061772
doppler-av25873081843079
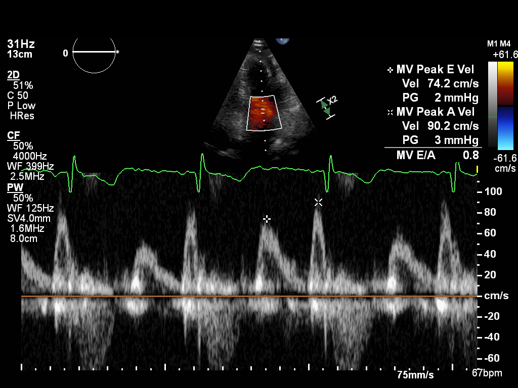
doppler-mv17012021212024
doppler-pv17762111262113
doppler-tissue-lateral1120133801333
doppler-tissue-rv7809255927
doppler-tissue-septal1034123731230
doppler-tv19022261352263
mmode-a4ch-rv15921891131894
mmode-ivc1159138821379
mmode-plax-av1374163981635
mmode-plax-lv4925835585
mmode-plax-mitral7689154913
plax-full-la1123133801336
plax-full-lv17992141282141
plax-full-mv1307155931555
plax-full-out15091791071795
plax-full-rv-ao961114681143
plax-tv16882011202009
plax-valves-av20002381422380
plax-valves-mv18412191312191
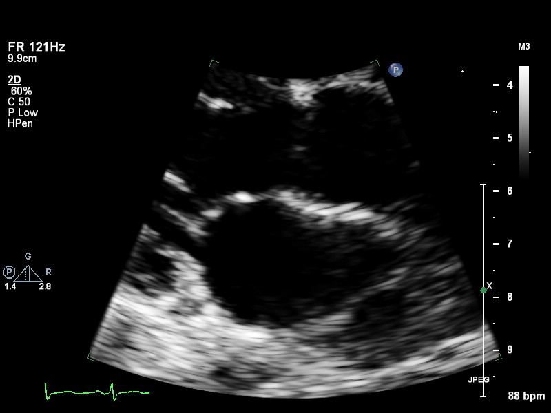
psax-all20972491492495
psax-tv1335159951589
psax-av21252531512529
psax-pv18682221332223
psax-lv-base14371711021710
psax-lv-mid16691981191986
psax-lv-apex16271931161936
subcostal-heart1212144861442
subcostal-ivc849101601010
suprasternal16571971181972
Total 76589 9103 5447 91139

Echocardiographic View Definitions (47 Classes)

Below are 6 major categories. Click a category to reveal its table of TTE47 views.

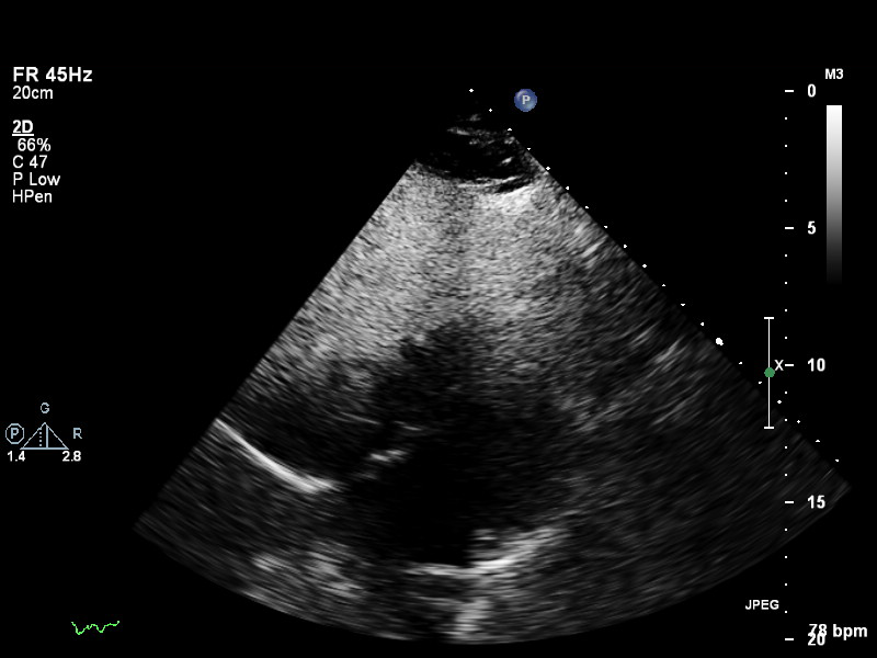
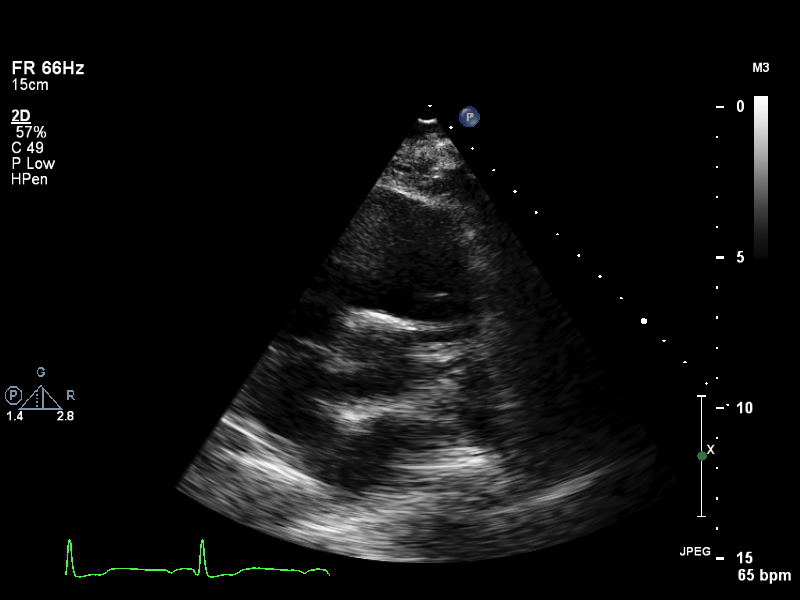
Apical (16 views)

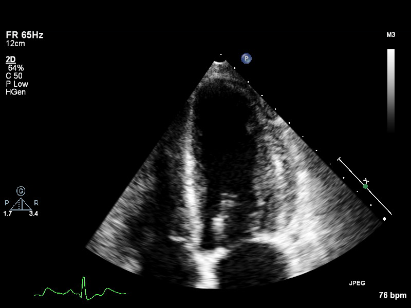
ImageView NameDescription
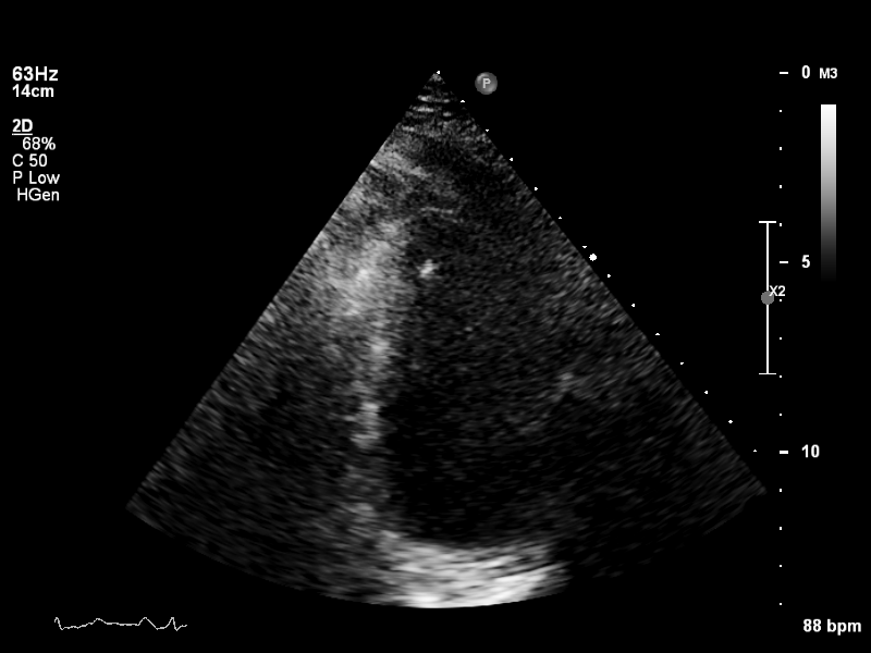
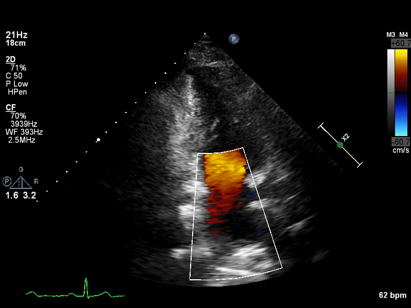
a2ch-full a2ch-full Apical 2-chamber, covering the depth of the whole of the LV and LA
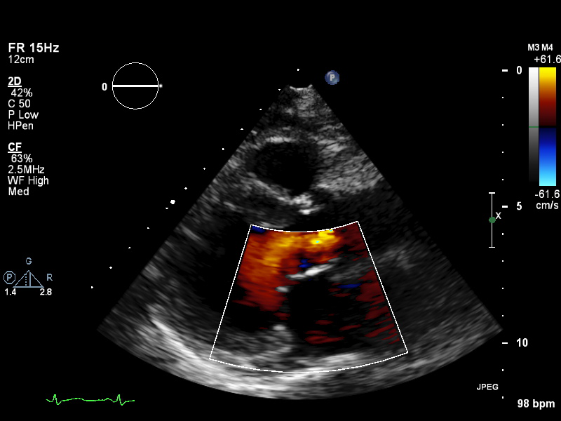
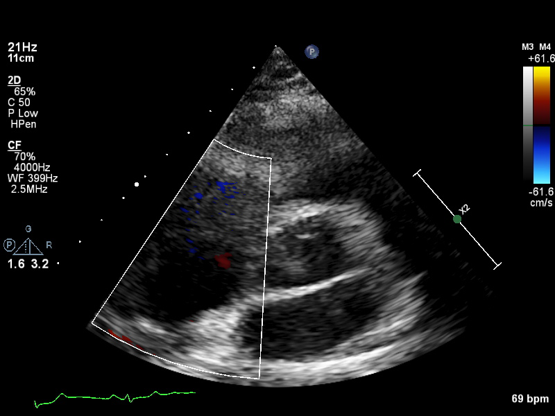
a2ch-la a2ch-la A2CH with Doppler near MV/LA or 2D not covering full LV depth
a2ch-lv a2ch-lv A2CH covering the whole depth of the LV, but not the whole depth of the LA
a3ch-full a3ch-full Apical 3-chamber, covering the whole depth of the LV and the LA
a3ch-la a3ch-la A3CH with Doppler near MV/LA or 2D not covering full LV
a3ch-lv a3ch-lv A3CH covering the whole depth of the LV, but not the whole depth of the LA
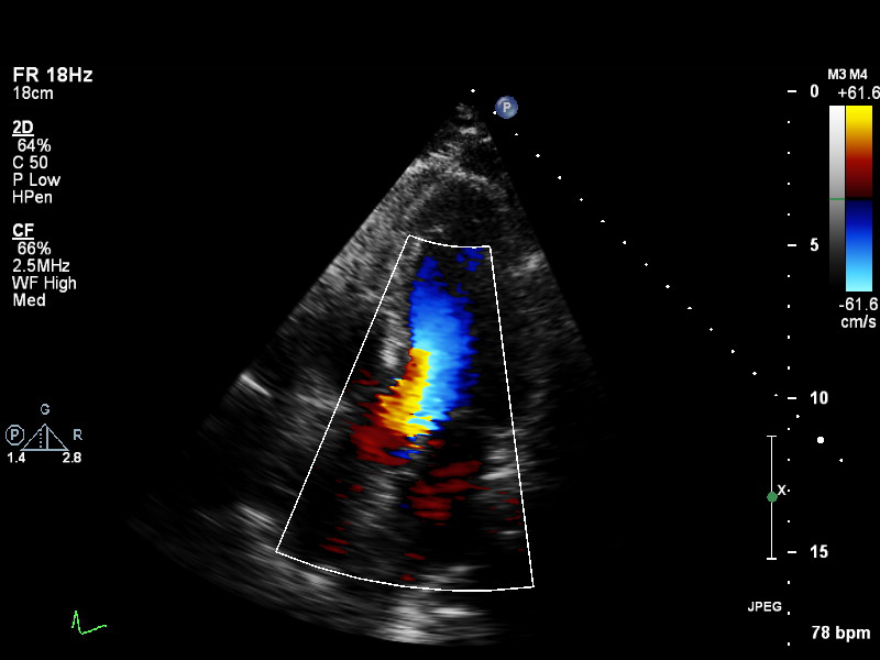
a3ch-outflow a3ch-outflow A3CH emphasizing LVOT (colour focused on LVOT or limited b&w of LVOT area)
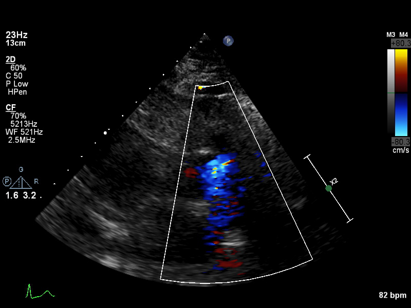
a4ch-full a4ch-full Apical 4-chamber showing the full depth of all four chambers (no LV/RV focus)
a4ch-ias a4ch-ias Apical 4-chamber, focused on the inter-atrial septum
a4ch-la a4ch-la A4CH with Doppler near MV/LA or 2D covering full LA, not full LV
a4ch-lv a4ch-lv A4CH covering the whole depth of the LV, not the whole depth of the LA
a4ch-ra a4ch-ra Apical 4-chamber focused on the right atrium, or colour Doppler on TV/RA
a4ch-rv a4ch-rv Apical 4-chamber focused on the right ventricle
a5ch-full a5ch-full Apical 5-chamber from apex to back of the atria, no LVOT colour
a5ch-outflow a5ch-outflow A5CH including LVOT; may lack full depth or has LVOT colour
apex apex Any apical window whose depth is insufficient to reach the mitral ring

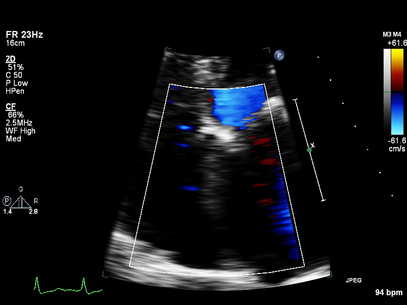
PLAX (8 views)

ImageView NameDescription
plax-full-la plax-full-la Parasternal long-axis, sector covers whole LA; intended for LA measurements
plax-full-lv plax-full-lv PLAX with imaging sector covering LV but not the whole LA
plax-full-mv plax-full-mv PLAX centered on MV (heavy zoom losing LA/LV parts or MV colour)
plax-full-out plax-full-out Zoomed-out PLAX
plax-full-rv-ao plax-full-rv-ao Focus on RV & aorta or colour Doppler over RV/AV/Aorta
plax-tv plax-tv Parasternal inflow view including tricuspid valve
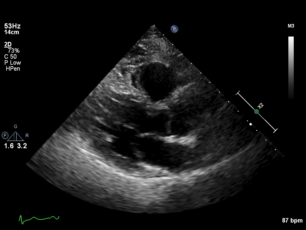
plax-valves-av plax-valves-av PLAX focused on the aortic valve
plax-valves-mv plax-valves-mv PLAX focused on the mitral valve

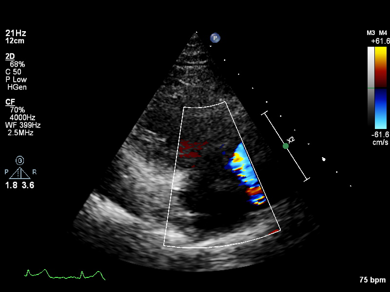
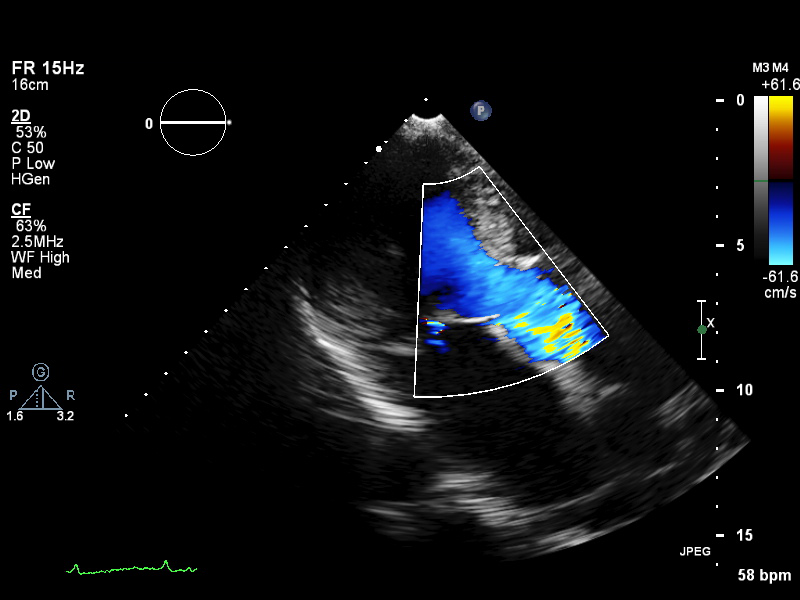
PSAX (7 views)

ImageView NameDescription
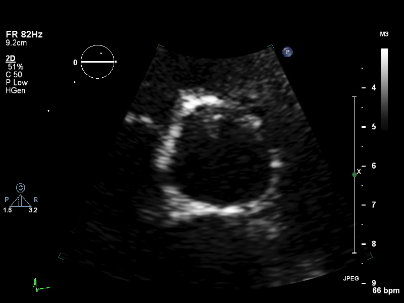
psax-all psax-all Valve level, field of view covers TV/AV/PV positions
psax-tv psax-tv Focused on tricuspid valve
psax-av psax-av Focused on aortic valve
psax-pv psax-pv Focused on pulmonary valve
psax-lv-base psax-lv-base Left ventricle base level
psax-lv-mid psax-lv-mid Left ventricle mid level
psax-lv-apex psax-lv-apex Left ventricle apex level

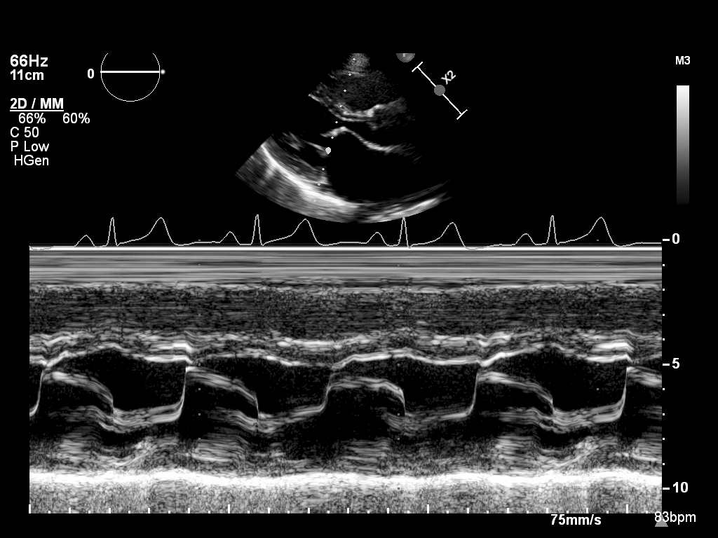
M-mode (5 views)

ImageView NameDescription
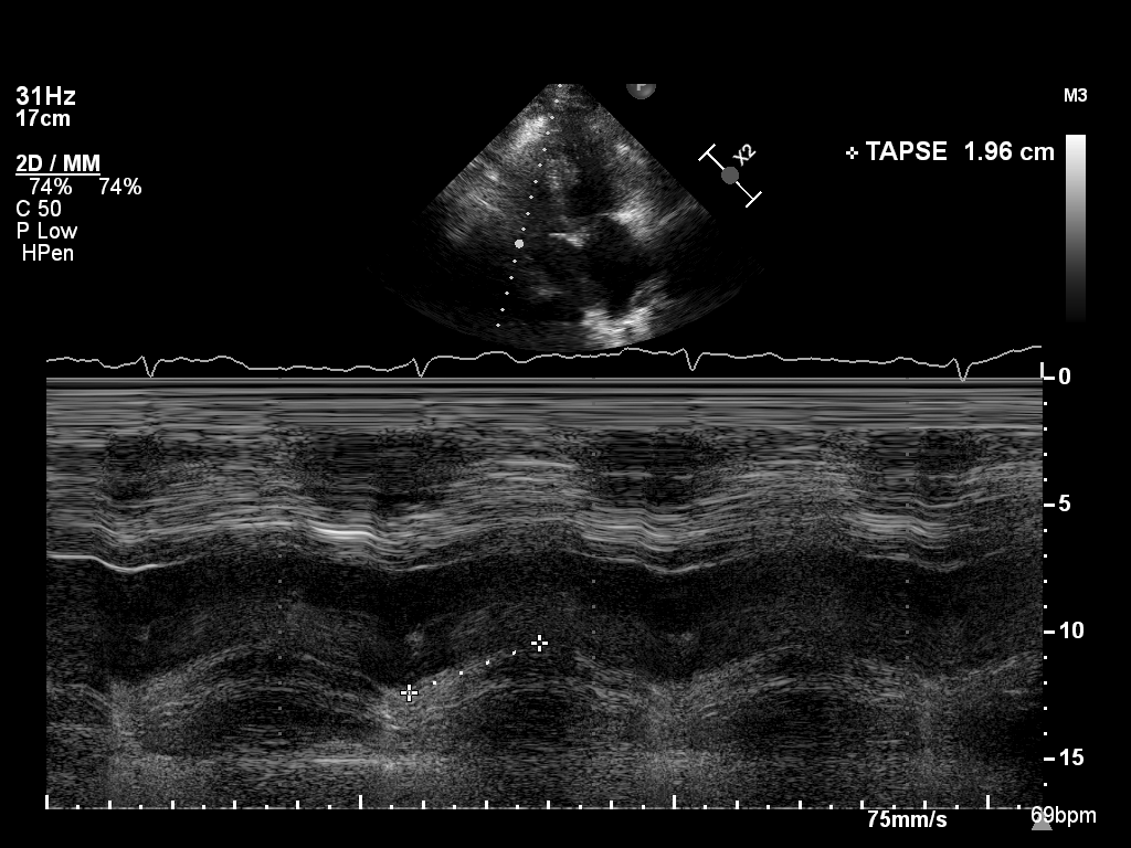
mmode-a4ch-rv mmode-a4ch-rv M-mode for measuring TAPSE
mmode-ivc mmode-ivc M-mode of the inferior vena cava
mmode-plax-av mmode-plax-av M-mode of the aortic valve in PLAX
mmode-plax-lv mmode-plax-lv M-mode in PLAX focused on LV walls
mmode-plax-mitral mmode-plax-mitral M-mode in PLAX focused on the mitral valve

Subcostal & Suprasternal (3 views)

ImageView NameDescription
subcostal-heart subcostal-heart Subcostal window, focused on the heart
subcostal-ivc subcostal-ivc Subcostal window, focused on the inferior vena cava
suprasternal suprasternal Suprasternal view

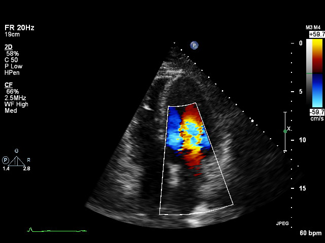
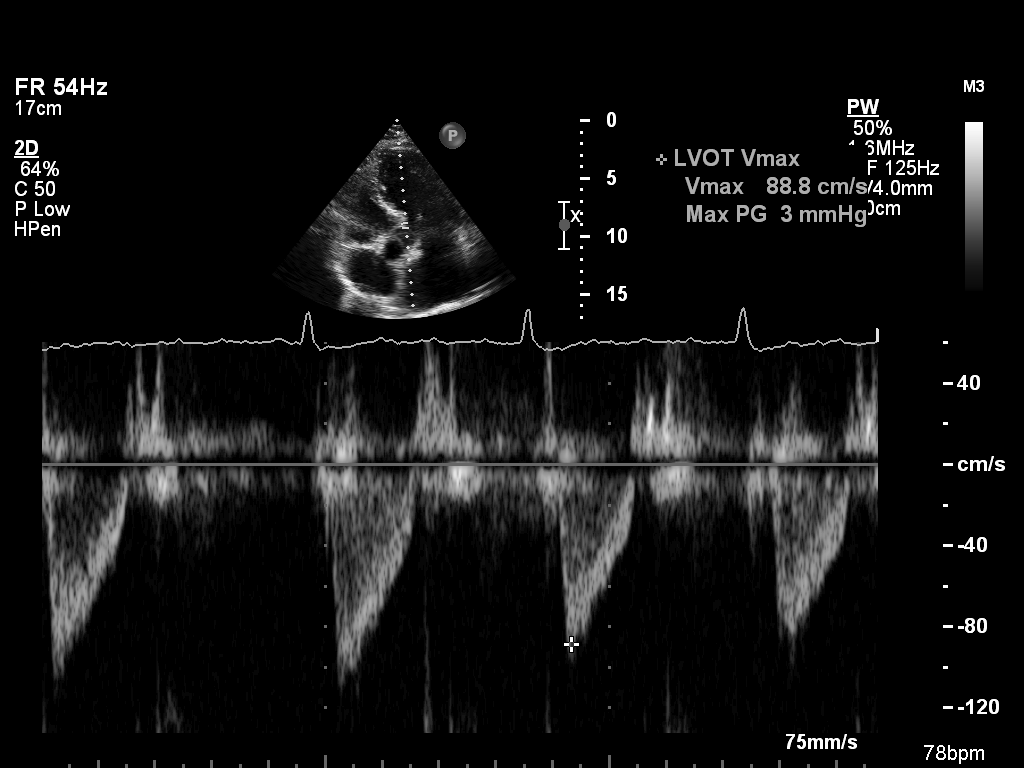
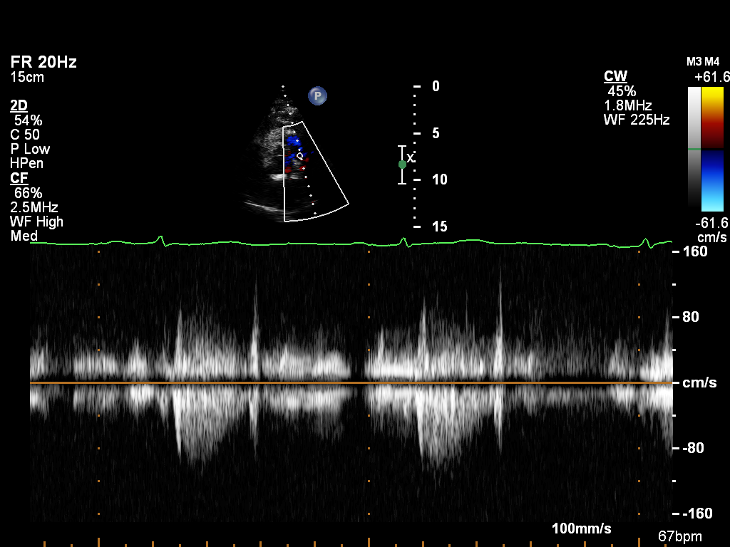
Doppler (8 views)

ImageView NameDescription
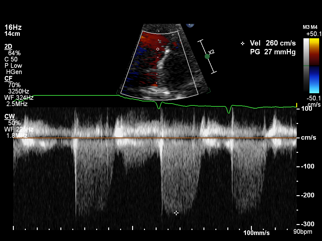
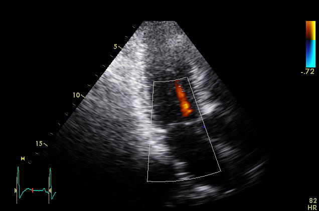
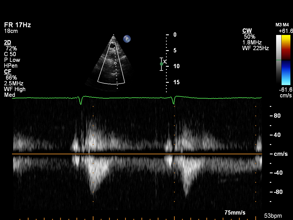
doppler-ao doppler-ao Spectral Doppler of the descending aorta
doppler-av doppler-av Spectral Doppler of the aortic valve
doppler-mv doppler-mv Spectral Doppler of the mitral valve
doppler-pv doppler-pv Spectral Doppler of the pulmonary valve
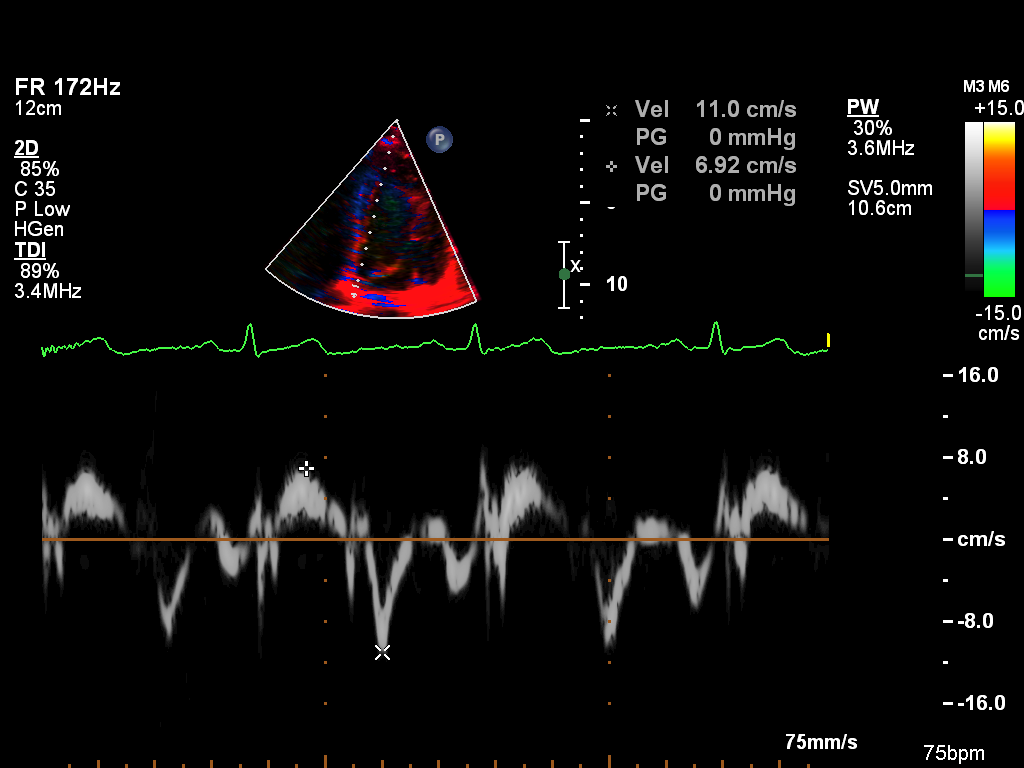
doppler-tissue-lateral doppler-tissue-lateral Tissue Doppler of the LV lateral wall
doppler-tissue-rv doppler-tissue-rv Tissue Doppler of the RV free wall
doppler-tissue-septal doppler-tissue-septal Tissue Doppler of the LV septal wall
doppler-tv doppler-tv Spectral Doppler of the tricuspid valve

License & Ethics


References

Contact / Access


Request Access to the Project Dataset

If you wish to request access, please complete the form below: