Download Dataset Code Repository References
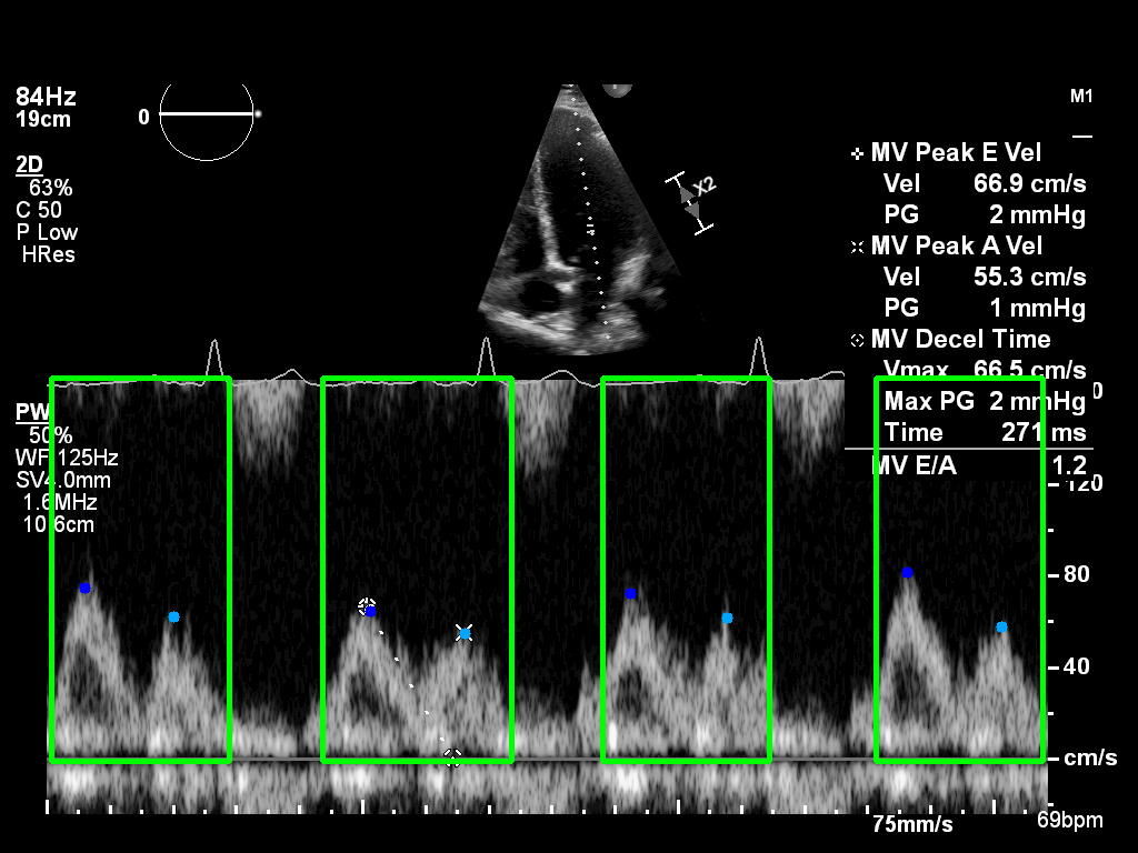
The UNITY MInD dataset provides Doppler echocardiography images of mitral inflow, a key measure for evaluating diastolic function.
Transmitral Doppler traces capture two main phases of ventricular filling:
These measurements are widely used in clinical decision-making but are usually performed manually, which can be time-consuming and subjective.
The MInD dataset offers annotated Doppler studies to support research into automated analysis, standardisation of measurements, and improved reproducibility.

Sample Doppler inflow image with annotated E- and A-wave peaks.
The UNITY MInD dataset will be made available for research use.
To request access, please complete the form below:
This dataset is released under a
Creative Commons BY-NC-ND 4.0 International License.